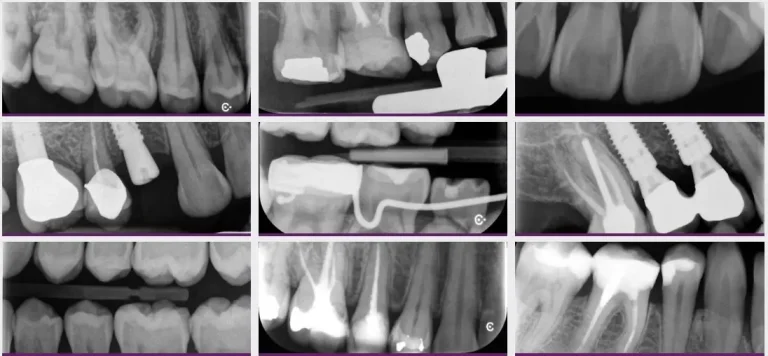
El equipo CS 7200 es un sistema de placas de imágenes intraorales con un diseño compacto y tecnología digital. Ofrece imágenes de alta resolución, un flujo de trabajo rápido y sencillo, permitiendo usar la configuración de sillón (chairside) o compartida entre múltiples operarios, convirtiéndolo en una solución económica para pequeñas y grandes consultas por igual.
Ventajas
• La mejor calidad de imagen con una resolución real de hasta 17 pl/mm en tan solo 8 segundos para ver una imagen.
• Cubre la mayoría de las indicaciones intraorales, junto con exámenes periapicales, pediátricos y de aleta de mordida.
Características principales
• Su diseño de dimensiones reducidas y la exploración silenciosa lo hacen ideal para uso junto al sillón odontológico.
• La exploración silenciosa proporciona un examen más cómodo para los pacientes.
• Las placas delgadas y flexibles sin cable son fáciles de colocar y cómodas para los pacientes.
• Imágenes directamente en el software radiológico.
• Placas duraderas y reutilizables se borran automáticamente después de la exploración.



